Lupus Diagnosis and Testing
Diagnosing Lupus
Diagnosing lupus is challenging, and often requires the care of a lupus doctor. Physicians often rely on blood tests and imaging to diagnose many conditions, but there isn’t a single test that tells a doctor whether the patient has lupus or not. Diagnosing lupus is similar to putting together a puzzle – the lupus doctor gathers different pieces of information, such as symptoms, medical history, and lab tests, and makes the diagnosis according to how the pieces all fit together. It can sometimes take months or years to gather enough individual pieces of information to see the big picture.
Assesing Your Lupus Symptoms and Family History
When diagnosing lupus, doctors look for signs of inflammation, which is the hallmark of lupus. Inflammation usually occurs when your immune system is fighting an infection or injury. Lupus causes your immune system to attack healthy tissue, so it causes inflammation in different parts of your body. This inflammation causes symptoms of lupus, which include swelling and pain.
Your doctor will ask you detailed questions about your symptoms, such as the specific symptoms you are having, how often you have them, when they started, and if anything seems to make your symptoms get better or worse. Your lupus doctor may ask if your symptoms get worse at a certain time of day, and if they are constant or if they come and go. The doctor may also ask if your symptoms interfere with your daily routine.
The physician may ask if any family members have had lupus or another autoimmune disease, which is a condition in which your immune system attacks healthy tissue. Like many other autoimmune diseases, lupus tends to run in families.
Laboratory Tests For Lupus
Your doctor may order blood tests to diagnose or rule out lupus. These blood tests can help your doctor detect signs of inflammation and determine if your immune system is working properly.
Complete Blood Count (CBC)
As its name suggests, a CBC involves counting the number of various blood cells, such as red blood cells, white blood cells, and platelets. Having too few (low) red blood cells can indicate anemia, which is common in people with lupus. Low white blood cell and low platelet counts can also suggest lupus.
Antibody Tests
Antibodies attack and neutralize bacteria, viruses, and other foreign substances. In people with lupus, specific antibodies attack healthy cells and tissues. The antinuclear antibodies (ANA) tests detect these antibodies. While the ANA is not a specific test for lupus, it is sensitive enough to detect these antibodies in 97 percent of people with the disease.
Blood Clotting Tests
People with lupus have a higher risk of blood clots in their legs, lungs, or even brains. Blood clotting tests determine if you have clotting problems.
Urine Tests
Urine tests can help your doctor detect problems with your kidneys.
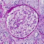
Biopsies
Your doctor may perform a biopsy by removing a small piece of tissue for examination in a laboratory, where technicians check the tissue for signs of inflammation and damage.
Complement Tests
Complement tests check for signs of inflammation.
Treating Lupus
Your doctor will work with you to create a treatment plan. While there is no cure for lupus, your lupus doctor can help you manage your symptoms and improve your overall health.
Click here for our downloadable guide on how lupus is treated.
